TelefonKontaktdaten MailKontaktformular TelefonKontakt anrufen MailKontaktformular

Ultraschalluntersuchung der Bauchorgane

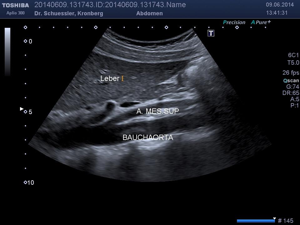
Die Bauchultraschalluntersuchung ist das wichtigste Verfahren zur Beurteilung der gesamten Bauchorgane. Sämtliche Bauchorgane sind dem Ultraschallverfahren ohne Belastung für den Patienten gut zugängig.

Durch Ergänzung des farbkodierten Duplexverfahrens läßt sich die Durchblutungssituation der Bauchorgane erfassen.

Durchführung

Ultraschalluntersuchung am liegenden Patienten.
Dauer: Je nach Fragestellung mehrere Minuten.