TelefonKontaktdaten MailKontaktformular TelefonKontakt anrufen MailKontaktformular

Ultraschalluntersuchung des Herzens mit Belastung (Streßechokardiographie)

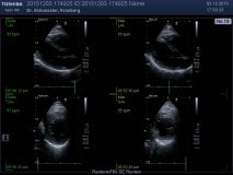
Die Streßechokardiographie wird vorwiegend bei Verdacht auf - oder zum Ausschluss einer koronaren Herzerkrankung eingesetzt. Sie erlaubt einen direkten Vergleich der Bewegung des Herzens in Ruhe und unter körperlicher Belastung. Hierzu werden zunächst in Ruhe, mittels Echokardiographie, Aufnahmen der Herzbewegung erstellt. Gleiches erfolgt nach Erreichen der maximalen Last auf dem Ergometer. Sofern es unter Belastung zu einer Minderdurchblutung des Herzmuskels kommt, lässt sich dies in der vergleichenden Betrachtung der Aufzeichnungen durch das Auftreten einer Bewegungsstörung des Herzmuskels erkennen.

Die Auswertung der Untersuchung erfolgt mittels computergestützter Analyse der Bewegung und Funktion der einzelnen Segmente des Herzmuskels

Die Stressechokardiographie hat große Bedeutung in der Ersterkennung und Verlaufsbeurteilung

  • der koronaren Herzkrankheit
  • der Erkennung von Veränderungen in Koronarstents
  • der Auswirkung von Herzklappenerkrankungen auf die Belastbarkeit

 

Video

Durchführung

Dauer je nach Fragestellung 30 – 40 Minuten